Свидетельства современников Уилльяма Бранхама
Сверхъестественное
В Библии описаны тысячи удивительных событий. Если Бог наделяет свидетеля знамениями и чудесами, то где же Его чудеса сегодня? Может ли Он излечить рак, как Он в Библии исцелял проказу? А как на счёт СПИДа или малярии? Может ли Он до сих пор творить чудеса? Да, Бог продолжает творить чудеса, и сии знамения будут сопровождать верующих.
Теперь, смотрите друзья, подумайте о Джордже, короле Англии, который был исцелён от рассеянного склероза после того, как мы помолились за него. Подумайте о Флоренс Найтингейл (её бабушка –основатель Красного Креста), которая весила около тридцати килограммов, она лежала там больная раком двенадцатиперстной кишки, и умирала. Маленький голубь пролетел сквозь кустарник, и Дух Божий пришёл и сказал, “ТАК ГОВОРИТ ГОСПОДЬ: она будет жить”. И теперь она весит семьдесят килограмм и у неё отменное здоровье.
Подумайте о парализованном конгрессмене Апшоу, который год за годом был прикован к инвалидному креслу и кровати в течение шестидесяти шести лет. И в один миг он поднялся на ноги, пробежал через здание, дотянулся руками до своих пальцев на ногах, и стал абсолютно нормальным и здоровым.
Просто подумайте о тысячах и тысячах людей которые были исцелены. Что нам здесь сидеть пока мы не умрём? Давайте что-то с этим делать.
Цитата из проповеди «Свидетельство» - 53-0902
Имейте веру, если вы больны или нуждаетесь. Библия говорит, что Иисус Христос вчера, сегодня, и вовеки Тот же, поэтому если Он мог творить чудеса две тысячи лет назад, то Он способен сделать то же самое и сегодня. Он обещал нам, что мы будем исцелены, если бы мы только верили.
Конгрессмен Апшоу

Уилльям Д. Апшоу восемь лет работал в Палате представителей Соединенных Штатов Америки, а также баллотировался на пост президента США в 1932 году. Ещё в детстве он был парализован в результате несчастного случая, и провёл 66 лет на костылях и в инвалидном кресле. В 1951 он был полностью исцелён и до конца жизни ходил нормально.
Флоренс Найтингэйл

...У Флоренс Найтингэйл, дальней родственницы широко известной медсестры, был неизлечимый рак желудка. Она отправила эту фотографию как последнюю просьбу о молитве прежде, чем рак смог бы отнять у неё жизнь. Как видите, она была при смерти, но Господь Иисус Христос исцелил её в 1950 году. Следующий снимок был сделан после её исцеления и был представлен как доказательство, что Бог продолжает исцелять больных.
Трис Гриффин

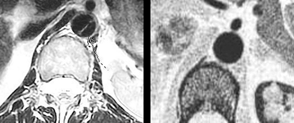
Трис Гриффин обратилась к врачу в начале 2013 года из-за боли в пояснице, которая, как она опасалась, могла быть рецидивом её борьбы с раком. Томография показала “расслоение аорты” в её сердце, что побудило врачей провести дальнейшие тесты и наметить неотложную операцию на следующий день. На фото ясно видна линия, которая проходит через сердце – очевидно, что это трещина, которая означала бы быструю и почти неминуемую смерть в случае разрыва.

На следующий день, после того, как верующие помолились за неё, врачи провели ещё одну компьютерную томографию, чтобы точно определить местоположение трещины перед операцией. На этот раз снимки показали абсолютно здоровое сердце. Весьма озадаченный, хирург сказал миссис Гриффин: “Я не знаю, что вам сказать. У вас было расслоение аорты, но теперь от этого не осталось и следа”. Он показал ей снимки сделанные до и после молитвы. “Вы можете идти. И между прочим, у вас также нет никакого рака. Вы абсолютно здоровы”.
Стрелка, нанесённая врачом, указывает на аорту, которая представляет собой темную, круглую областью в центре изображения. Диагональная линия – это аневризм или расслоение аорты, которая нуждается в срочной операции и может оказаться фатальной в случае разрыва. На следующий день был осуществлено второе сканирование сердца. Расслоение полностью исчезло и никогда больше не возникало.